
驢研究院在驢群呼吸與繁殖障礙性疾病研究領域取得了系列進展
原發表日期:2022-04-25
來源:聊城大學
作者:王長法
近日,聊城大學驢研究院的馬屬動物疫病研究小組在驢呼吸與繁殖障礙病原鑒定方面取得了系列進展,論文先后發表在《Frontiers in Microbiology》(JCR Q1,IF:5.6),《BMC Veterinary Research》(JCR Q1, 2.7),《Frontiers in Oncology》 (JCR Q2,IF:6.24),《Virology Journal》(JCR Q2, IF: 4.09),《動物醫學進展》和《中國畜牧獸醫》等國內外期刊上。
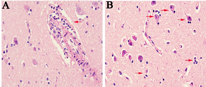
近年來國內多個地區規模化驢場孕驢流產和呼吸系統等疾病時有發生,給養驢業造成巨大的經濟損失。鑒于導致孕驢流產的相關致病原尚不清楚,導致該病的防控效果較差,一直困擾著驢養殖業的從業者與科研人員。針對規模化驢場孕驢流產率較高的此“卡脖子”難題,我校毛驢研究院馬屬動物疫病研究小組王彤彤和李亮亮博士先后對山東省、河北省和河南省等多個地區規模化驢場發生的上述疫病進行了流行病學調查及病原分離、鑒定,發現馬皰疹病毒8型(EHV-8)和圓環病毒3型(PCV3)是其主要致病原。先后分別從病死驢的肺臟、流產胎盤及腦組織成功分離多株EHV-8病毒,在國際上屬首次報道。


(分離毒株的形態學觀察) (EHV-8引起典型的病毒性腦炎病變)

(分離毒株的遺傳進化分析)
發表的論文題目分別為《Identification of equine herpesvirus 8 in donkey abortion: a case report》【論文鏈接:https://pubmed. ncbi.nlm.nih.gov/34991640/】、《The emergence of viral encephalitis in donkeys by equid herpesvirus 8 in China》【論文鏈接: https://pubmed.ncbi.nlm. nih.gov/35308333/】、《First detection and phylogenetic analysis of porcine circovirus 3 in female donkeys with reproductive disorders》【論文鏈接:https://pubmed.ncbi.nlm.nih.gov/34537035/】、《MRKNs: Gene, Functions, and Role in Disease and Infection》【論文鏈接:https://www. frontiersin. org/articles/ 10. 3389 /fonc.2022.862206/full】、《驢源馬皰疹病毒8型的分離鑒定與生物信息學分析》、《山東、河南、河北驢群馬動脈炎病毒、馬皰疹病毒8型的檢測與分析》、《馬皰疹病毒8型熒光定量PCR檢測方法的建立與應用》;同時還申報發明專利《一種用于快速檢測馬皰疹病毒8型的熒光定量PCR試劑盒》1項,圍繞《馬皰疹病毒8型的診斷和防控》撰寫、申報團體標準和山東省地方標準各1項。上述一系列研究成果為今后開展馬皰疹病毒8型的致病機制研究、針對性的疫苗研發以及快速診斷試劑開發奠定了堅實的基礎,也將為養驢業的健康發展提供技術支撐。
上述論文的第一作者為王彤彤博士,王博士自2019年7月份入職以來,先后獲批國家自然基金青年項目1項,山東省自然青年基金1項,山東省驢產業科技協同創新中心開放課題1項(廳級),聊城大學校級項目2項(畜牧學高水平學科項目和博士科研啟動基金),累計到賬科研經費59萬元,并于2021年5月份成功入選聊城大學“光岳英才”(第三層次)支持計劃。
上述研究得到國家自然科學基金(32002248)、山東省自然科學基金(ZR2020QC016)、山東省現代農業產業技術體系項目(SDAIT-27)、山東省泰山產業領軍人才項目(LJNY201713)、聊城大學畜牧學學科開放課題(319312101)、山東省驢產業科技協同創新中心開放課題(3193308)和聊城大學博士科研啟動基金(318051919)的資助。